|
Enfermedades de las Aves
por Ivan Dinev, DVM, PhD
|
La enteritis hemorrágica en pavos

1, 2.- La enteritis hemorrágica (HE) es una enfermedad viral aguda en pollos jóvenes que está caracterizada por decaimiento súbito, heces sanguinolentas y a menudo tasas altas de mortalidad. Se puede observar una descarga de sangre por el recto (1), sangre fresca en heces o melena (2).

3.- La enteritis hemorrágica se observa en pavos a la edad de 6 a 11 semanas pero más frecuentemente a la edad de 7 a 9 semanas. Excepcionalmente, la HE se observa en pavos de menos de 4 semanas de edad, presumiblemente debido a los anticuerpos maternales. El intestino delgado, especialmente el duodeno, tiene un color rojo oscuro y vasos sanguíneos ramificados, prominentes bajo la cubierta serosa y hemorragias que se observan a través de la pared intestinal.

4,5.- La HE se caracteriza por
signos clínicos que progresan
rápidamente y el curso de la
enfermedad tiene una duración
de aproximadamente 10 días.
La tasa más alta de morbilidad
se alcanza en la mitad de este
periodo. La taza total de mortalidad
varía entre 2-3 % y 5 a
10 % pero pueden alcanzar el
60 %.
Los pavos se encuentran deprimidos
y se observa una reducción
del consumo de alimento
y agua. La ocurrencia de las lesiones
de la mucosa intersticial
varía de hiperémica a hemorrágica
(4) y hay diversas hemorragias
o inflamación necrótica
fibrinosa (5).

6, 7.- El bazo de las aves infectadas se encuentra
típicamente aumentado de tamaño, hemorrágico,
moteado o marmoleado.
Después el bazo reduce 2 a 3 veces su tamaño
y adquiere un color gris plateado característico.
Los estudios serológicos muestran que HEV se
encuentra distribuido entre los pavos adultos.
No hay evidencia de transmisión vertical, y se ha
establecido que HEV se disemina horizontalmente
por ingestión de heces de pavos infectados.
La cama contaminada, los equipos, zapatos,
otras aves, roedores etc. son también agentes
importantes en la transmisión de la infección.

8.- El hígado está aumentado de tamaño, y moteado con múltiples hemorragias, las cuales varían de petequias a equimosis. Las aves muertas están en buenas condiciones pero presentan piel pálida. Una vez que la enfermedad aparece en la granja, la infección a menudo se disemina en otros lotes. La infección de HEV en pavos resulta en una inmunosupresión transitoria y consecuentemente se produce una septicemia secundaria producida por E. coli.

9.- Los riñones están agrandados y hemorrágicos.

10.- En muchos casos la mucosa gástrica e intestinal presenta hemorragias petequiales o estriadas.

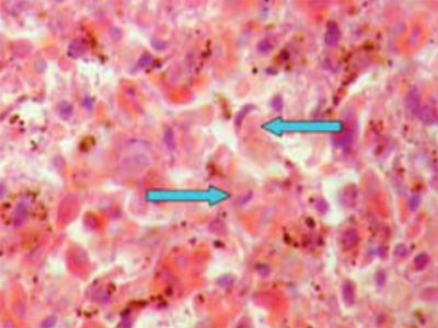
11.- Un signo característico para el diagnóstico es el hallazgo de
grandes cuerpos de inclusión acidofílicos y raramente basofílicos en
las células reticuloendoteliales del bazo.
Se observa un patrón en donde la cromatina del núcleo se encuentra
desplazada y condensada alrededor del cuerpo de inclusión que
generalmente se ve como una media luna. Algunas veces cuerpos
de inclusión similares pueden ser hallados en la lámina propia de la
mucosa intersticial.
Las lesiones macroscópicas típicas y la historia de la enfermedad
pueden establecer un diagnóstico presuntivo para HEV. Se puede
confirmar el diagnóstico por la detección histológica de cuerpos de
inclusión intranucleares en las células reticuloendoteliales del bazo
o los intestinos. Se puede utilizar para la identificación de HEV el
método de agar gel precipitación. El antígeno viral puede ser detectado
también en tejido esplénico congelado o fresco, diluido 1:1
en solución salina o en suero obtenido de pavos enfermos. La HE
debe distinguirse de otros casos de enteritis severa en pavos como
la septicemia aguda producida por E. coli, y otros estados septicémicos
(estreptococosis, cólera aviar etc.). Luego de algunas semanas
después del comienzo de la enfermedad, se debe iniciar una terapia
antibiótica apropiada para prevenir la septicemia secundaria
producida por E. coli. Desde el punto de vista práctico, no hay una
terapia efectiva para HE en pavos.
