|
Enfermedades de las Aves
por Ivan Dinev, DVM, PhD
|
Bronquitis infecciosa (IB)

1.- En aves de más de 4 semanas, la IB se manifiesta por signos respiratorios severos (estornudos, tos y estertores). Se observa también rinitis y conjuntivitis, depresión y la presencia de aumento de la presión alrededor del corazón. La tasa de muerte puede alcanzar el 100%. La mortalidad en pollos jóvenes es insignificante de manera general siempre que no ocurra una infección secundaria con un agente diferente. En tales casos, hay una infiltración celular inflamatoria severa del tracto respiratorio superior, lo que produce que la mucosa se engrose y se vuelva más compacta.

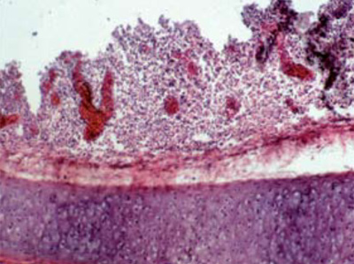
2.- En gallinas ponedoras infectadas
con el virus de IB, se observa ooforitis
y lesiones necrobióticas distróficas
que afectan principalmente el tercio
medial y terminal de la mucosa del
oviducto. Las consecuencias de estas
lesiones son la caída de la producción
de huevos, aparición e incremento en
el número de huevos pigmentados y
deformados como los huevos blancos
con cáscara blanda y clara de huevo
acuosa.
El oviducto se encuentra atrofiado, cístico
con depósitos de yemas o huevos
completamente formados en la cavidad
abdominal (lo que se denomina
ponedora interna).

3.- Las consecuencias son el síndrome de caída de la postura, huevos pigmentados o deformados, o huevos con cáscaras débiles y clara de huevo acuosa. IB está producida por un coronavirus. Se caracteriza por una gran diversidad antigénica lo que explica la identificación de gran variedad de serotipos (Massachusetts, Arkansas 99, Connecticut, O72 etc.) A menudo el curso de la infección se complica con la participación de otros patógenos como E. coli, M. gallisepticum, y el virus de la laringotraqueitis aviar.

4, 5.- Las cepas necrobióticas de los virus IB causan cambios severos daños necrobióticos, distróficos e inflamatorios en los riñones: urolitiasis (229), nefritis intersticial (230) hemorragias (231) que incrementan considerablemente la tasa de mortalidad. En condiciones naturales solo las gallinas son infectadas. Todas las aves no inmunizadas de todas las edades son susceptibles a la enfermedad. IB se puede observar aún en lotes vacunados. Los métodos serológicos (VN, ELISA etc.) se usan ampliamente en el diagnóstico. En la actualidad se está utilizando PCR para la identificación de serotipos del virus IB. La IB debe ser distinguida de otras enfermedades respiratorias agudas como ND, laringotraqueitis y coriza infecciosa aviar. La vacunación con vacuna viva o muerta es efectiva solo si contiene el serotipo respectivo del virus de una región establecida.
