|
Enfermedades de las Aves
por Ivan Dinev, DVM, PhD
|
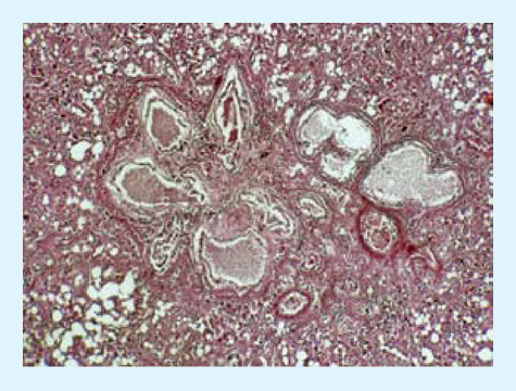
Colangioma
ENFERMEDADES NEOPLÁSICAS CON ETIOLOGÍA DESCONOCIDA



1,2,3.- Colangioma, hígado, pato. Apariencia macroscópica e histológica.
Este libro está protegido por las leyes de derechos de autor.
La reproducción, distribución o imitación del libro entero o en partes en cualquier formato (electrónico o fotocopias) sin el consentimiento por escrito del autor o autores está totalmente prohibido.
