|
Enfermedades de las Aves
por Ivan Dinev, DVM, PhD
|
Coccidiosis

1.- La coccidiosis es una enfermedad
producida por protozoarios en
aves domésticas y otras aves caracterizada
por enteritis y diarrea sanguinolenta.
El tracto intestinal se
encuentra afectado con excepción
de la coccidiosis renal en gansos.
Clínicamente se observan heces
sanguinolentas, plumas erizadas,
anemia, reducción de la talla de la
cabeza y somnolencia. El área alrededor
de la cloaca está manchada
con sangre. La infección se realiza
por la ruta oral fecal.

2.- Pato-anatómicamente se encuentra deshidratación y un alto grado de anemia en el cuerpo y las vísceras. Después de la ingestión de oocistos esporulados (infectivos) los esporozoitos son liberados y entran en ciclos asexuales y sexuales de desarrollo, produciendo la aparición de miles de nuevos oocistos en los intestinos. Los oocistos se distribuyen en las heces. En seguida, ellos esporulan y se vuelven infectivos para las pollos.

3.- Dependiendo de la localización de las lesiones en los intestinos, las coccidiosis son divididas en cecales, inducidas por E. tenella, y en el intestino delgado inducidas por E. acervulina, E. máxima, E. necatrix, E. mivati, E. mitis, E. praecox, y E. nagani. En la coccidiosis cecal, se presenta una marcada tiflitis con hemorragias que se observan a través de toda la pared intestinal.

4.- El ciego está lleno con sangre fresca o coagulada. Las lesiones intestinales provocadas por coccidia, se deben a los daños en las células epiteliales de la cubierta mucosa donde los parásitos se desarrollan y multiplican. Los oocistos están presentes en la cama y los galpones y se distribuyen en la ropa, zapatos, polvo, insectos etc. Anatomopatológicamente se presenta deshidratación y el alto grado de anemia en el cuerpo y las vísceras.

5.- En el último estado, el contenido del ciego se encuentra engrosado, mezclado con exudado fibroso y adquiere una a apariencia de queso. La cama mojada y el calor en los galpones favorecen la esporulación y por lo tanto los brotes de coccidiosis.

6.- En el intestino delgado se observa, dependiendo de las especies de Eimeria, hemorragias de intensidad variada en diferentes partes a lo largo del intestino. En muchas circunstancias, las hemorragias son petequiales y pueden ser vistas a través de la pared intestinal.

7.- El contenido está mezclado con sangre fresca o coagulada, y la cubierta mucosa está moteada con múltiples hemorragias petequiales o extensas. Algunas veces, se presenta una reacción del tejido linfoide intestinal.

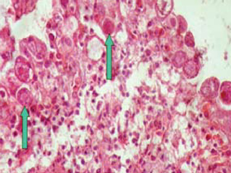
8.- Histológicamente, se puede detectar
la presencia de Eimeria, dentro de
las células epiteliales intestinales. El
diagnóstico se realiza bajo los resultados
de la evaluación compleja del cuadro
clínico, las lesiones macroscópicas,
preparaciones de improntas, estudios
histológicos y flotación. Las coccidiosis
pueden ser diferenciadas de NE, UE e
histomonosis (tiflohepatitis).
Tratamiento - Se usan ampliamente
las sulfonamidas: Sulfadimetoxina, sulaquinoxalina,
sulfametazina, las cuales
no deben ser usadas en gallinas ponedoras.
La adición de vitaminas A y K
promueve la recuperación.

9.- El examen microscópico de una
preparación natural del contenido intestinal
o de la capa mucosa superficial
revela un número significativo de
oocistos en un campo microscópico.
Prevención. El uso de coccidiostáticos
con el alimento en un sistema de
rotación es el sistema más extendido.
La inmunización contra coccidiosis con
vacunas comerciales es utilizada en lotes
de reproductoras de pollos de engorde.
Si los pollos están expuestos al
efecto natural de un número moderado
de oocistos en su ambiente, pueden
desarrollar inmunidad a las especies
parasitarias respectivas.
