|
Enfermedades de las Aves
por Ivan Dinev, DVM, PhD
|
Amiloidosis

1.- La amiloidosis se observa principalmente
en aves adultas. Se caracteriza
por la acumulación extracelular
de proteína amiloide en diferentes
vísceras y en las articulaciones.
Artropatía Amiloide
Está asociada principalmente con
Enterococcus fecalis y Mycoplasma
synoviae. Las aves marrones son particularmente
susceptibles. Algunos
factores genéticos también pueden
estar involucrados en la incidencia
de amiloidosis.
Las articulaciones afectadas se encuentran
engrosadas y contienen
material naranja amarillento.

2.- Amiloidosis sistémica. Las aves acuáticas son más susceptibles a la amiloidosis. Cuando los depósitos de amiloide se encuentran en cantidad considerable, las lesiones pueden incluir también ascitis severa. El abdomen está sobrecargado con trasudado espeso y amarillo (flecha).

3.- Es muy común encontrar en los patos el hígado agrandado de forma difusa, de consistencia sólida y brillante con superficie pálida o gris pardo.

4.- En ciertos casos, el hígado podrían verse afectado por cirrosis avanzada. La superficie de corte podría aparecer cerosa, y la cápsula del hígado - notablemente engrosada debido a la fibrosis.

5.- A veces, la cirrosis biliar podrían estar presentes en el hígado. La superficie del órgano y la superficie de corte presentan un color específico verde debido a la imbibición biliar.

6.- Cuando se añade Lugol al órgano correspondiente (en este caso, parte del hígado) durante el examen anatómico, el amiloide adquiere una coloración marrón. Si se añade ácido sulfúrico, el cambio de color del amiloide va de marrón a azul.

7.- Los depósitos de amiloide producen esplenomegalia . En la superficie de corte se encuentran dispersos múltiples focos blancos (bazo de Sagú).

8.- Las posibles consecuencias de depósitos de amiloide extensa en el hígado son la ruptura espontánea y la hemorragia peritoneal cavidad.

9.- En los patos, se observan letargo y reducción de la producción de huevos debido a salpingitis, retención de huevos en el oviducto y peritonitis secundaria.

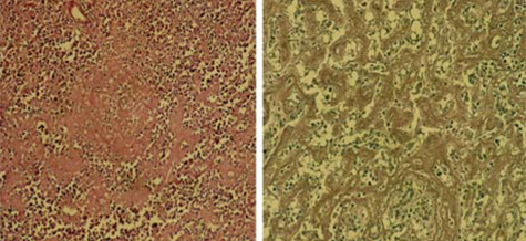
10.- Aspecto microscópico de los depósitos de amiloide: periarteriolar en el bazo (izquierda) y en el hígado.
