|
Enfermedades de las Aves
por Ivan Dinev, DVM, PhD
|
La miopatía pectoral profunda

1.- La miopatía pectoral profunda (DPM), también llamada enfermedad del músculo verde o enfermedad de Oregón, se observa en tipos de aves y pavos pesados de carne. La enfermedad ocurre debido a necrosis isquémica debido a un aporte inadecuado de sangre, de talla variada en los grupos de músculos pectorales profundos. Esta lesión se caracteriza por edema, hiperemia y la decoloración de la m. supracoracoide. La lesión está claramente delineada (flecha) de la parte afectada. A continuación - normal.

2.- DPM - Lesión inicial. Diferencia entre la parte afectada y no afectada del músculo.

3.- La patología macroscópica de las lesiones tempranas mostró edema, hiperemia y hemorragias en el músculo supracoracoide

4, 5.- La lesión es uni o bilateral y se detecta como un hallazgo en el matadero. Los músculos afectados tienen un color verde extraño. Investigaciones preliminares determinaron que el pigmento verde se derivaba de la degradación de un pigmento hemo, como la hemoglobina o la mioglobina durante el desarrollo de miopatía.
La resistencia a los disolventes ácidos demuestra que el pigmento se une covalentemente a la proteína. Posteriormente las investigaciones demostraron que la pigmentación puede derivarse de los citocromos (tal vez los citocromos b).

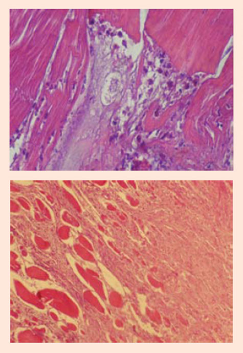
6, 7.- Histológicamente se encuentran cambios degenerativos necrobióticos (degeneración de Zenker), aumento de acidofilia, y heterófilos leucocitos y macrófagos entre el tejido muscular muerto. En una etapa más avanzada, se puede encontrar entre el tejido necrosado, reacciones inflamatorias y sustitución de las fibras atrofiadas con grasa o tejido fibroso.
