|
Enfermedades de las Aves
por Ivan Dinev, DVM, PhD
|
Ruptura del tendón gastrocnemio en reproductoras de broilers

1.- Este estado puede causar pérdidas económicas significativas en lotes de reproductoras de pollos de engorde. Se observa usualmente en aves mayores de 12 semanas pero también pueden ser observadas en reproductoras a la edad de 7 semanas o de más de 24 semanas. La ruptura puede ser uni o bilateral. Clínicamente, se observa cojera. En las aves afectadas, puede ser palpada hinchazón de la superficie posterior de la pata, justo encima de la articulación tibiotarsal.

2, 3.- En las lesiones más antiguas, se puede encontrar una decoloración azul verdosa (2), mientras que en las lesiones crónicas, se pueden palpar masas duras anormales en el tejido subcutáneo (3).

4.- En ciertas aves, los músculos de las piernas afectadas experimentan varios grados de atrofia.

5.- La ruptura se observa usualmente como una interrupción irregular transversa justo encima de la articulación tarsal. Entre los hematomas se puede observar el extremo libre del tendón.

6.- En lesiones crónicas o viejas, la sangre está reabsorbida parcial o completamente (flecha 2). El extremo del tendón roto y el tejido adyacente se encuentran envueltos en varias porciones de tejido fibroso nuevo (flecha 1). RGT debe ser diferenciada de Reovirus e infecciones de MS, donde las lesiones macroscópicas e histológicas tienen un carácter marcadamente inflamatorio.

7.- Lesión inicial. Haemorragias (flecha) entre el tendón (a) y la vaina del tendón (b), Н/Е, barra de escala = 3m.

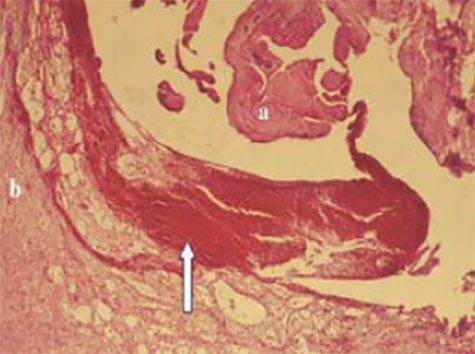
8.- Lesión tardía. Los extremos (a) de la ruptura del tendón, cubierta por tejido conectivo recién formado (b), Н/Е, barra de escala = 4m.
