|
Enfermedades de las Aves
por Ivan Dinev, DVM, PhD
|
Gota

1, 2.- La gota se caracteriza por retención y acumulación de uratos en tejidos. Se observa como dos síndromes separados: gota visceral y gota articular. La gota visceral se manifiesta por depósitos de uratos en los túbulos renales y en cubiertas serosas del corazón, hígado, mesenterio, sacos aéreos o el peritoneo. Los depósitos de uratos en las cubiertas serosas asemejan a polvo de tiza blanco. Los depósitos de uratos viscerales se deben generalmente a fallo renal. Las posibles causas para esta lesión podría ser obstrucción de los uréteres, daño renal o deshidratación.

3, 4.- Frecuentemente, la gota visceral que sigue a la deshidratación se observa en pollos recién nacidos, después de sobrecalentamiento o permanencia prolongada en la nacedora. Los brotes de gota visceral se relacionan a deficiencia de vitamina A, tratamientos con bicarbonato de sodio, micotoxicosis etc.

5.- La gota articular se caracteriza por depósitos periarticulares de uratos (tofos), especialmente alrededor de las articulaciones de los dedos y de los pies. Las articulaciones están agrandadas y los piel malformados.

6.- Después de abrir las articulaciones afectadas, el tejido periarticular se presenta de color blanco. Se puede observar un material blanco semilíquido, ocasionado por los depósitos de uratos.

7.- En casos crónicos, las precipitaciones de uratos pueden ser observadas en la tráquea, la cresta, las barbillas, etc.

8, 9.- La Urolitiasis es un estado etiológico desconocido, que ocurre principalmente en gallinas ponedoras de jaula, y que se caracteriza por obstrucción de uno o ambos uréteres con uratos, atrofia de uno de los lóbulos renales y varios grados de gota renal y visceral. Un gran número de factores etiológicos están relacionados a ésta condición: exceso de proteínas, exceso de calcio, (3 % o más), toxicidad por bicarbonato de sodio, micotoxinas (ocratoxina etc.) deficiencia de vitamina.
Hay cepas nefrotrópicas del virus de la bronquitis infecciosa.
Los niveles bajos de fósforo (bajo el 0,6 %) ayudan probablemente al desarrollo de la enfermedad. No existen signos clínicos específicos, excepto por la depresión y la pérdida de peso. La tasa de mortalidad puede incrementarse y persistir alrededor del 2 al 4 % al mes, durante el periodo reproductivo. La mortalidad total en los lotes altamente afectados pue- de alcanzar 50 %.

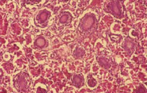
10.- Gota visceral. Sección transversal de los riñones en el pollo. Depósitos de urato en el lumen de los túbulos renales formando cilindros de urato.
