|
Enfermedades de las Aves
por Ivan Dinev, DVM, PhD
|
Intoxicación por ionóforos

1, 2.- Los ionóforos (portadores de iones) facilitan el transporte de algunos cationes monovalentes como Na+ y Mg+) a través de la membrana celular. La concentración de ionóforos tóxicos causa eflujos de K e influjos de Ca en las células, particularmente en miocitos, lo que hace que la célula muera. En pollitos afectados se observan depresión, anorexia y diarrea acuosa con deshidratación subsecuente, gota visceral y urolitiasis severa.

3.- El balance osmótico de las células está afectado debido a influjo de agua y la vacuolización de la célula. La ascitis (foto 3) y la retención de agua en el buche (foto 1, flecha) son signos característicos en aves en crecimiento.

4.- Hipertrofia biventricular y dilación del corazón. Eventos congestivos en el atrio derecho e izquierdo.

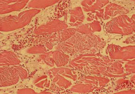
5.- La célula muerta es el resultado de la presión intracelular incrementada, destrucción de la estructura celular y daño celular potencial. En pavos adultos afectados, se observa disnea y caída del ala característica.

6, 7.- Se presenta parálisis parcial o completa en aves, las cuales están acostadas con el cuello y los miembros extendidos. Los signos están asociados a daño muscular. En aves con signos respiratorios, están afectados también los músculos de la tráquea. La tasa de mortalidad varía, pero puede exceder el 70%.

8.- Hialinización (necrosis de Zenker) y lesiones necrobióticas degenerativas severas del músculo estriado. Grupos de heterófilos y macrófagos rodeando las áreas necróticas. El diagnóstico está basado en la historia, signos clínicos y lesiones macroscópicas y microscópicas. El diagnóstico diferencial se realiza con botulismo y deficiencia de vitamina E y selenio.
