
'Strong Evidence' Demonstrates Alpha-Toxin's Role in Necrotic Enteritis
Strong evidence that alpha-toxin plays a
role in the development of necrotic enteritis
(NE) has been demonstrated in studies
utilizing an alpha-toxin test kit and immunohistochemistry,
Dr. Joan Schrader said at
the World’s Poultry Congress held recently
in Brisbane, Australia.
Alpha-toxin is a toxic protein secreted by
the bacterium Clostridium perfringens. It is
also a component of Netvax, a Clostridium
perfringens type A toxoid vaccine. Netvax,
which is conditionally licensed in the US,
is administered to breeders for control of
NE in progeny chicks. The vaccine was
developed by Intervet/Schering-Plough
Animal Health, said Schrader, a scientist
with the company.
The recent availability of a commercial
diagnostic test-strip kit designed to detect C. perfringens and alpha-toxin in feces
provided a new way to evaluate the role of
alpha-toxin in the development of NE, she
said. Schrader also conducted immunohistochemistry
to physically demonstrate
alpha-toxin at the lesion site.
The test utilizes monoclonal antibodies to
both C. perfringens type A and alpha-toxin
bound to a paper strip. When the strip is
exposed to these antigens in solubilized
chicken feces, one line develops color in
the presence of C. perfringens type A,
and a second line develops color in the
presence of alpha-toxin.
Study details and results
For the study, 52 commercial, day-old
broiler chicks were placed in floor pens
at the company’s R&D facility in Elkhorn,
Nebraska. Thirty-five test chicks were housed in one hut, and the remaining
chicks were housed in another hut and
were used as controls.
"Table 1. Incidence of positive test strips for C. perfringens was not different between birds positive
or negative for NE."
CP = Clostridium perfringens
Note: Alpha-toxin was only detected in chickens positive for NE
Chicks were fed a non-medicated starter
ration for the first 5 days and were then
switched to a high-protein diet for the
remainder of the study. When the test
chicks were 19, 20 and 21 days of age,
a C. perfringens type A challenge was
performed by oral gavage.
At 23 days of age, fecal material was
collected from the caudal rectum/cloaca
of each chicken and tested according to
the kit instructions. Three strips were
tested for each sample, Schrader said.
Chickens were also scored for NE lesions,
which were used to determine the true
prevalence of NE, and the ability of the
test strips for detecting C. perfringens
and alpha-toxin was determined,
she said.
The overall prevalence of positive
test, according to lesion score, for
C. perfringens in birds was 33% for score 0
(6/18), 18% for score 1 (14/78), 19% for
score 2 (9/48), 61% for score 3 (11/18) and
88% for score 4 (16/18). The incidence of
positive test strips for C. perfringens was
not different between birds positive or
negative for NE (Table 1), Schrader said.
Alpha-toxin was not detected by the test
strips until lesion scores reached 3 or 4:
The test kit was able to detect alpha-toxin
in 37% (7/18) of tests among chickens with
lesion scores of 3 and in 71% (13/18) of
tests among chickens with lesion scores
of 4, she said.

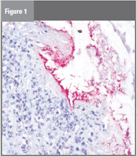
Figure 1. An “anti-antibody” with fluorescent
or pigmented material binds to the antibody
in question if that antibody is present.
The study showed a good correlation
between lesion score and the detection
of alpha-toxin, with higher lesion scores
resulting in greater detection of alpha-toxin
with the test kit, Schrader said.
In addition, the finding that high lesion
scores correlated with positive test-strip
results for
C. perfringens and alpha-toxin
at the site of NE lesions “supports the
hypothesis that the severity of the gross
lesions is directly proportional to the
number of
C. perfringens present and
amount of alpha-toxin produced,”
she said.
Immunohistochemistry results
Schrader then performed immunohistochemistry
on NE lesions, a technique
that has been widely used to detect the
presence of disease agents in tissues.
To perform the test, a very thin-sliced
tissue sample is fixed to a slide. An
“anti-antibody” that has fluorescent or
pigmented material is added to the slide
and binds to the antibody in question if
that antibody is present. In this case,
“There was clearly a positive binding
of antibodies,” Schrader explained
(see Figure 1).
The results of the study, Schrader
concluded, “strongly demonstrate the
involvement of alpha-toxin in the disease
of necrotic enteritis.”
Although the test kit was useful for the
purposes of her study, she said, it would
not be particularly helpful in the field
for producers trying to detect subtle,
subclinical NE that can go unnoticed but
eat away at performance. It would pick
up birds with overt, clinical NE and high
lesion scores, and “by then you’d already
know the birds are sick.”
Regresar a European Edition (#2)