Artículos
Aspergilosis pulmonar en palomas de competencia
22 December 2016La aspergilosis no es una enfermedad transmisible pues para que las aves se infecten requieren de la inhalación de esporas presentes en el medioambiente, los signos que se observan pueden ser sutiles.
Conferencia de Georgina Romero y Nestor Ledesma, Universidad Nacional Autónoma de México, en la XLI Convención Anual ANECA, Ixtapa-Zihuatanejo, México, en abril de 2016.
La aspergilosis es una enfermedad respiratoria causada por hongos del género Aspergillus en el que se incluyen más de 600 especies; la infección puede ser sistémica o local sin embargo en las aves las lesiones principalmente se presentan en pulmones y sacos aéreos. El curso de la enfermedad puede ser crónico o agudo.
El principal agente causal de aspergilosis es Aspergillus fumigatus, y en menor grado A. flavus que pertenecen a la familia de Moniliaceae. También se han reportado aislamientos de A. terrus, A. glaucus, A. nidulans, A. niger entre otros.
Las hifas de A. fumigatus miden de 3 a 7µ de diámetro, poseen lados paralelos, son septadas y presentan ramificaciones dicotómicas. La identificación de hongos se basa en la morfología microscópica de las colonias así como en sus características de crecimiento.
En la avicultura comercial la aspergilosis se presenta de forma aguda ocasionando alta mortalidad y morbilidad en aves jóvenes y en aves de larga vida se presenta de forma crónica. Los casos más graves de aspergilosis se presentan en situaciones de confinamiento en donde se involucran diversos factores de estrés o en donde existe contaminación por hongos del alimento o la cama.
Los brotes de esta enfermedad ocurren cuando la cantidad de conidias están presentes en suficiente cantidad para que se establezca la infección o bien cuando los mecanismos de resistencia del ave se encuentran comprometidos por diversos factores como son el estrés medioambiental, inmunosupresión, mal nutrición o la presencia de otros agentes infecciosos.

Aspergilosis en aves
La aspergilosis no es una enfermedad transmisible pues para que las aves se infecten requieren de la inhalación de esporas presentes en el medioambiente, los signos que se observan pueden ser sutiles incluso en casos en los que la necropsia revela aerosaculitis sin embargo las aves afectadas pueden presentar disnea, boqueo, respiración acelerada, anorexia, emaciación, diarrea, disfagia.
Las lesiones macroscópicas que pueden observarse son engrosamiento y opacidad de sacos aéreos con presencia de granulomas o placas blancas coalescentes; en los pulmones pueden observarse nódulos caseosos distribuidos de manera multifocal o coalescente en todo el tejido pulmonar. En casos crónicos el hongo puede esporular en la superficie de las lesiones caseosas o en los sacos aéreos lo que se observa como moho de color verde grisáceo.
Microscópicamente los granulomas presentes en sacos aéreos y pulmón están conformados al centro por detritus celulares necróticos y heterófilos y en la periferia están rodeados de macrófagos epitelioides y agregados de linfocitos.
En los pulmones las lesiones consisten en pleuritis heterofílica, linfohistiocítica o granulomatosa y neumonía necrótica y hemorrágica con abundante cantidad de leucocitos.
El diagnóstico de esta enfermedad generalmente se realiza post mortem mediante la observación de nódulos caseosos blancos en pulmones o sacos aéreos y la identificación histológica de las estructuras fúngicas en los tejidos o bien a partir del cultivo microbiológico e identificación microscópica del hongo en cuestión.

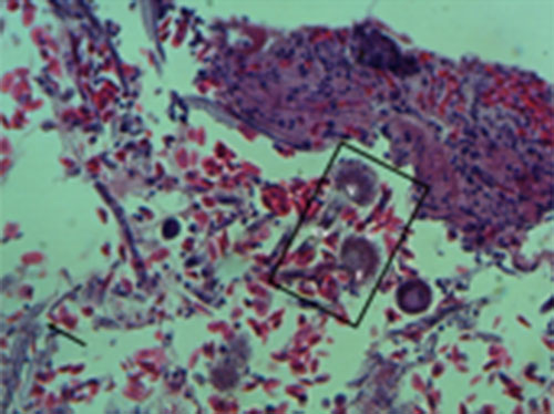
Corte histológico de pulmón teñido con hematoxilina-eosina en el que se observan hifas hialinas, septadas, con ramificación dicotómica en ángulo agudo (flecha) compatibles con aspergillus y cabezas conidiales (rectángulo) compuestos por conidios (C) fiálides (F) vesícula (V) y conidióforo (Co).
Reporte de caso: paloma adulta
Se recibe una paloma adulta (Columba livia) muerta en el Laboratorio de Diagnóstico e Investigación en Enfermedades de las aves de la Facultad de Medicina Veterinaria y Zootecnia de la UNAM procedente de un palomar de competencia con historia clínica de muerte súbita.
Necropsia
En la inspección externa las plumas de la región pericloacal se observan sucias por la presencia de heces; los párpados se observan aumentados de tamaño y con presencia de líquido color amarillo claro (exudado sero fibrinoso).
En el tejido subcutáneo de las vértebras cervicales se observa un área de color rojo que rodea el cuello (hemorragia). El hígado se observa aumentado de tamaño, de bordes redondeados y con zonas multifocales de color café claras. La zona caudoventral de ambos pulmones presenta un área de color blanco que abarca el 20% del órgano. Los riñones se observan disminuidos de tamaño y de color café claro.
Histopatología
Se revisan secciones de pulmón en donde se observa abundante cantidad de estructuras micóticas alargadas, anchas, septadas y con ramificaciones dicotómicas así como moderada cantidad de células inflamatorias compuestas por heterófilos y linfocitos, así mismo se observan extensas zonas de necrosis y hemorragia.
En el citoplasma de algunos hepatocitos se observa abundante cantidad de pigmento café ocre en el así como moderada cantidad de lípidos. Algunas células epiteliales de los túbulos renales se observan degeneradas y necróticas. En los cortes de corazón se observa escasa cantidad de estructuras micóticas alargadas, anchas y septadas entre las fibras musculares.

Discusión
La aspergilosis generalmente no es un problema de relevancia en los palomares de competencia dado que el sistema inmune de estas aves está preparado para neutralizar una infección por hongos sin embargo cuando las palomas están sometidas a condiciones de estrés como son: medicación prolongada, cambios bruscos de temperatura, traumatismos, malnutrición, otras enfermedades o bien si no existe una buena limpieza y ventilación la presencia de Aspergillus en el medio ambiente o alimento puede derivar en una infección grave.
En este caso el diagnostico se realizó basado en histopatología al observar la morfología de las hifas presentes en pulmón y corazón; no se realizó el aislamiento micológico por lo que no fue posible identificar la especie implicada.
La literatura reporta que la principal fuente de contaminación por hongos es la cama que poseen las aves en su alojamiento siendo el género Aspergillus el mayormente aislado.
La aspergilosis puede tratarse mediante la aplicación de tratamientos basados en anfotericina B, flucitocina, ketoconazol o voriconazol sin embargo dado que el diagnóstico frecuentemente se realiza post mortem no es común la medicación de las aves por lo tanto las medidas de control están enfocadas a la prevención de la infección implementando buenas prácticas de limpieza, desinfección y ventilación en el palomar.
La ventilación del alojamiento puede disminuir hasta en un 75% la incidencia de aspergilosis así mismo la eliminación de alimento mohoso de la dieta y del ambiente, el apropiado manejo del material de cama previene la recurrencia de aspergilosis en el palomar.
Conclusiones
La aspergilosis en aves regularmente se asocia con pollitos que provienen de incubadoras contaminadas. Sin embargo, el presente caso reporta el hallazgo de esta enfermedad de un ave adulta en época de cría lo que implica la posible infección en los pichones que comparten el alojamiento con los reproductores.
Aspergillus es un microorganismo ubicuo por lo que la presencia de cabezas conidiales en los pulmones de esta paloma son indicativas de un alto grado de contaminación del medio ambiente así como posible inmunosupresión pues regularmente no es posible observar este tipo de estructuras en las lesiones microscópicas.
Durante la realización de la necropsia del presente caso no se observaron lesiones macroscópicas sugerentes de infección micótica como granulomas en pulmón y saco aéreo; razón por la cual no se solicitó ninguna prueba complementaria al laboratorio sin embargo se sugiere que en los casos en los que durante la inspección post mortem se observen lesiones neumónicas se solicite la realización de un aislamiento bacteriológico o micológico para descartar la presencia de Aspergillus.
Bibliografía
1. Hunter, D. B., & Atkinson, C. T. Infectious Diseases of Wild Birds.
2. Charlton, R.B., Chin R.P., Barnes, H.J. Fungal infections in Diseases of poultry 12Ed.
3. Van Waeyenberghe L1, Pasmans F, D'Herde K, Ducatelle R, Favoreel H, Li SJ, Haesebrouck F, Martel A. Germination of Aspergillus fumigatus inside avian respiratory macrophages is associated with cytotoxicity. Vet Res. 2012 Apr 19;43:32. doi: 10.1186/1297-9716-43-32.
4. Beernaert LA1, Pasmans F, Baert K, Van Waeyenberghe L, Chiers K, Haesebrouck F, Martel A. Designing a treatment protocol with voriconazole to eliminate Aspergillus fumigatus from experimentally inoculated pigeons. Vet Microbiol. 2009 Nov 18;139(3-4):393-7. doi: 10.1016/j.vetmic.2009.06.007. Epub 2009 Jun 11.
5. Elmubarak AK1, Fadlelmula A. Pathogenesis of Aspergillus fumigatus infection in pigeons in the Sudan. Rev Elev Med Vet Pays Trop. 1991;44(1):26-8.
También le interesaría
Enfermedades de las palomas mensajeras
Colombofilia: cría y entrenamiento de palomas mensajeras
Diciembre 2016
Fotos de palomas de Shutterstock
